VATRENA ZMIJA

TRPIO JE UŽASNE BOLOVE Godinama mu u stopalu živio opasan i iznimno rijedak parazit kojeg zovu mali zmaj

 St Vincent's Hospital

Nakon što je trpio bolove u nozi skoro godinu dana, jedan je muškarac iz Australije napokon odlučio posjetiti liječnika.

Iako mu je glavom prolazilo što bi moglo uzrokovati bolove, ono što je doznao kod liječnika svakako ga je iznenadilo.

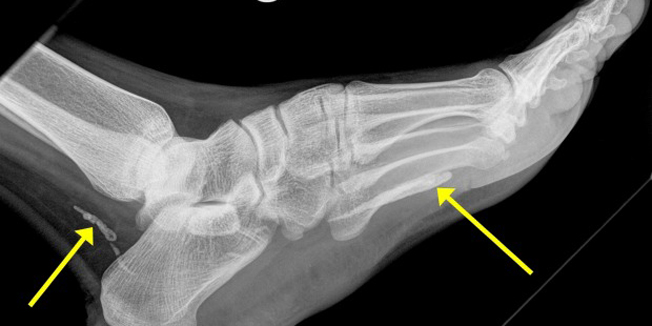
Naime, poslije obavljenog rendgena dr. Jonathan Darby iz bolnice Sv. Vincent u Melbournu obavijestio je svog pacijenta da mu se u nozi nalazi opasan nametnik koji može narasti do jednog metra te da zasigurno živi u njemu godinama.

Nametnik Dracunculus medinensis, poznat kao gvinejski crv, mali zmaj ili vatrena zmija, pronađen u nozi pacijenta dr. Darbyja jako je rijedak, a nastanjuje samo neke dijelove Afrike.

S obzirom da je zaraženi muškarac imigrant iz Sudana vjeruje se da se zarazio u Africi prije nego što se prije četiri godine doselio u Aus...

Želite li dopuniti temu ili prijaviti pogrešku u tekstu?
04. prosinac 2025 10:22