ZDRAVI VID

OCT - dijagnostika za bolesti mrežnice

U Klinici Svjetlost koristi se Spectral domain Optical Coherence Tomography – Copernicus, uređaj koji spada u najnoviju generaciju OCT uređaja.
U Klinici Svjetlost koristi se Spectral domain Optical Coherence Tomography – Copernicus, uređaj koji spada u najnoviju generaciju OCT uređaja.

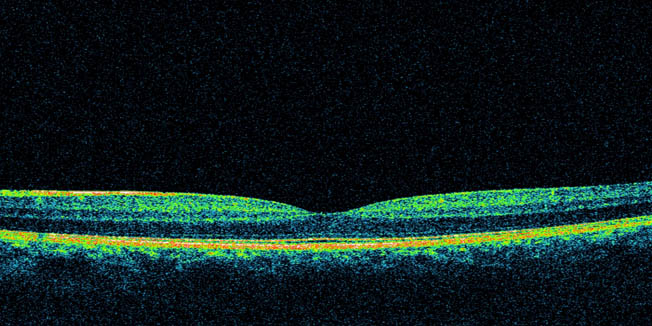
Očna pozadina uglavnom je nedostupna za uzimanje uzorka tkiva, osim u rijetkim situacijama koje same po sebi imaju rizike i provode se tek kad je to neophodno potrebno. Kao pomoć pri dijagnosticiranju bolesti očne pozadine od novijih metoda sve češće se koristi OCT (optička koherenta tomografija).

Iako u kratici postoje slova "CT", ova metoda nema nikakve veze s ionizirajućim zračenjem, već se zasniva na interferenciji laserske svjetlosti. Iz aparata izlazi jedan snop svjetlosti koji ide prema očnoj pozadini, te se od nje reflektira i na svom povratku interferira sa snopom koji nije išao prema očnoj pozadini (referentni snop). Interferencija znači međudjelovanje i karakterizira elektromagnetske valove.

Snop laserske svjetlosti koji se odbija od očne pozadine nosi u sebi informaciju koja se može precizno prikazati ako taj snop interferira s referentnim snopom. Konačni rezultat te interferencije kompjutorski se obrađuje za svaku točku posebno i na kraju se slaže u sliku koja zapravo čini presjek očne pozadine. Ono što omogućuje ovu pretragu je i karakteristika same retine, a to je njezina prozirnost.

Današnji moderni OCT aparati omogućuju preciznije razlikovanje pojedinih slojeva mrežnice i može se reći da se sve više približavamo tome da ćemo imati nalaz identičan histološkom presjeku, a da nismo uzeli komadić tkiva.

Kada se najčešće koristi OCT?

Prije svega to su bolesti koje zahvaćaju žutu pjegu, zatim kod tzv. bolesti površine makule te kod glaukoma. Kod glaukoma ova pretraga ima izuzetnu važnost. OCT skeniranjem može se izmjeriti debljina živčanih niti na površini mrežnice. Upravo te niti stradavaju kod glaukoma, te se na osnovu njihove debljine može procijeniti i pratiti oštećenje od patološki povišenog očnog tlaka.

U Klinici Svjetlost koristi se Spectral domain Optical Coherence Tomography – Copernicus, uređaj koji spada u najnoviju generaciju OCT uređaja. Uz pomoć softverskih alata omogućuje trodimenzionalni prikaz žute pjege te topografske prikaze na kojima se vide oscilacije u debljini mrežnice i njenih slojeva, pa do mogućnosti da se izolira pojedini sloj i zasebno analizira.

Želite li dopuniti temu ili prijaviti pogrešku u tekstu?
27. prosinac 2025 10:45