ISTOVREMENO ČIŠĆENJE

REVOLUCIONARNA METODABubrežni kamenci mogli bise odstraniti u jednom postupku

 RGshredfox/Wikipedia
Od bubrežnih kamenaca pati oko 10 do 15 muškaraca te oko 2 do 7 posto žena
Od bubrežnih kamenaca pati oko 10 do 15 muškaraca te oko 2 do 7 posto žena

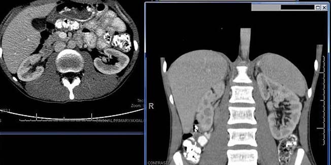
Liječnici će uskoro imati mogućnost da pacijentima uklanjaju bubrežne kamence u samo jednom postupku i to zahvaljujući razvijanju nove metode poznate pod nazivom bilateralna simultana uteroskopija. Tom bi se metodom oba bubrega mogla očistiti od kamenaca istodobno umjesto u dvije zasebne operacija kao što je to dosad bio slučaj. Postupak uključuje vizualizaciju i pozicioniranje kamenaca uz pomoć uteroskopa, a potom upotrebu lasera za njihovo razlamanje.

Bubrežni kamenci, od kojih pati oko 10 do 15 muškaraca te oko 2 do 7 posto žena nastaju kad se kristali soli akumuliraju u nakupine nalik kamenju koje tijelo ne može izlučiti. Takve nakupine mogu dovesti do zastoja u mokraćnom sustavu, uzrokovati jaku bol te učestale infekcije i sepse u mokraćnom traktu.

Dr. Bhaskar Soman...

Želite li dopuniti temu ili prijaviti pogrešku u tekstu?
06. prosinac 2025 20:11