NOVO ISTRAŽIVANJE

DRAMATIČNE PROMJENE NA MOZGOVIMA TINEJDŽERA Otkriven način kako djecu učiniti inteligentnijom!

 cc

Usprkos brojnim napadima žutih medija i konzervativnih političara na video igre, znanstveni dokazi sve češće ukazuju na veliku korist igara po razvoj mozga adolescenata.

Već je prije opaženo kako djeca i tinejdžeri koji igraju video igre imaju razvijenije kognitivne sposobnosti od svojih vršnjaka koji ih ne igraju. Najnovije istraživanje, objavljeno u znanstvenom časopisu PLOS ONE prošli tjedan, otkrilo je i biološku pozadinu tih rezultata.

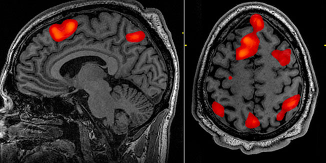
Znanstvenici su skenirali mozgove 152 14-godišnja adolescenta oba spola, i mjerili debljinu kore velikog mozga. Otkrivena je povezanost između vremena provedenog igrajući video igre i debljine kore u dvije regije mozga - lijevom dorzolateralnom prefrontalnom korteksu i lijevim frontalnim očnim područjima.

Prva regija zadužena je za don...

Želite li dopuniti temu ili prijaviti pogrešku u tekstu?
06. prosinac 2025 12:19