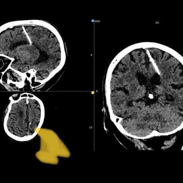
NEĆE JE VADITI Ruskinja živi punih 80 godina s iglom u mozgu. Liječnici imaju teoriju kako se našla tamo i vrlo je potresna 06.10.2023. u 09:55
NA TRSTENIKU Splićanka pokazala na kakvu se iglu nabola na plaži, ispostavilo se da nije riječ o onoj za vađenje krvi: ‘Idioti‘ 11.07.2023. u 16:22
‘OSRAMOĆENA JE!‘ Poliklinika zbog objave sporne fotografije domaćoj glumici mora platiti 140 tisuća kuna 20.10.2021. u 20:27
ŠOK U ŠIBENIKU Dvojica mališana ubola se na plaži na odbačenu iglu, testirat će ih na HIV i dvije vrste hepatitisa 23.08.2021. u 19:36