KRALJEVSKO PRIZNANJE Kraljica Elizabeta II. priznala da osjeća posljedice koronavirusa: ‘Ova užasna pandemija‘ 11.04.2022. u 13:08
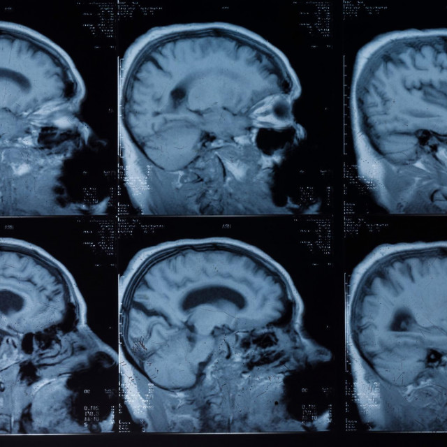
MAGLA U MOZGU Mentalne posljedice covida: Objavljeno što su otkrile autopsije ljudi koji su umrli od koronavirusa 06.02.2022. u 20:27
POSLJEDICE COVIDA Liječnica iz Čakovca godinu dana nakon korone nije dobro: ‘Bila sam zdrava, nalazi su me šokirali‘ 12.10.2021. u 08:42
REZULTATI ISTRAŽIVANJA Jokić: ‘Nužno je da škole ostanu otvorene, pandemija je negativno utjecala na većinu učenika‘ 25.08.2021. u 14:43
STRAŠNE POSLJEDICE Zabrinjavajuće otkriće liječnika: Covid može ući u tkivo penisa i uzrokovati trajnu erektilnu disfunkciju 13.05.2021. u 08:28
REPORT GOJKA DRLJAČE Može li se ispostaviti da je novac koji Hrvatska treba dobiti od EU fatamorgana? 12.04.2021. u 11:40