OTROVNE ČESTICE U KRVI

Četrdeset Hrvata u smrtnoj opasnosti: Zbog opasnog umjetnog kuka prijeti im trovanje

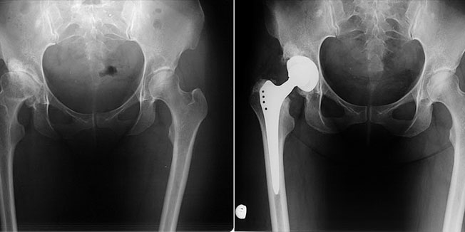
ZAGREB - Premda se već gotovo godinu i pol u Hrvatskoj ne ugrađuju kukovi ASR tvrtke DePuy, najnovija panika koja se oko tog proizvoda podigla u Velikoj Britaniji aktualizirala je pitanje sigurnosti pacijenata s takvim protezama i u Hrvatskoj.

Problem s tom vrstom potpuno metalnih proteza je u činjenici da se zbog jakog trenja metal ljušti pa u krv odlaze otrovne čestice poput kroma i kobalta. To može biti vrlo opasno za, primjerice, osobe koje su inače alergične na metale ili pak one koje imaju problema s bubrezima, a posebice za žene.

Stvaraju komplikacije

Prema podacima, u Velikoj Britaniji je oko 10.000 osoba kojima su ugrađeni sporni kukovi, dok hrvatske procjene govore o oko 325 pacijenata kojima je prije zabrane Hrvatske agencije za lijekove u kolovozu 2010. u ortopedsk...

Želite li dopuniti temu ili prijaviti pogrešku u tekstu?
27. studeni 2025 10:58