TRENUTAK NEPAŽNJE

Spasio ju 1 milimetar: Djevojčica (2) ostala živa nakon što joj se olovka zabila 4 cm u oko i promašila žilu!

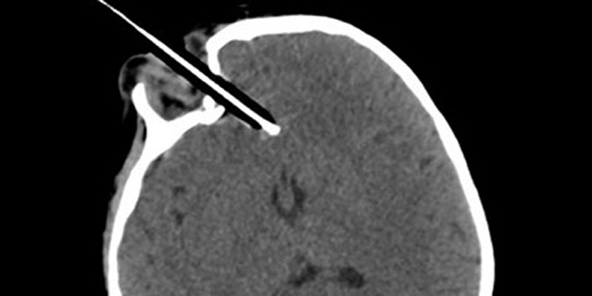
Potrčala je roditeljima pokazati što je nacrtala kad se spotakla i pala na olovku koju je nosila u ruci
 North Bristol NHS
Potrčala je roditeljima pokazati što je nacrtala kad se spotakla i pala na olovku koju je nosila u ruci

Dvogodišnja Wren Bowell iz Somerseta imala je nevjerojatnu sreću što je ostala živa kad joj se olovka zabila 4 centimetra u očnu duplju i za samo 1 milimetar promašila izuzetno važnu krvnu žilu. Da ju je oštetila, Wren bi vjerojatno umrla, a sigurno bi zadobila teška oštećenja mozga.

Olovka joj se tako čvrsto zabila u lubanju da su joj neurokirurzi tijekom četverosatne operacije morali otkloniti dio lubanje kako bi ju izvadili. Taj su dio vratili natrag, pričvrstivši ga biorazradivim vijcima. Srećom, sve je prošlo bez ikakvih posljedica i djevojčica se u potpunosti oporavila. Pravo je čudo, naglasili su liječnici, da joj čak niti očna jabučica nije stradala.

Wren je crtala u svojoj sobi i potrčala je roditeljima pokazati što je nacrtala, no spotakla se preko za...

Želite li dopuniti temu ili prijaviti pogrešku u tekstu?
07. prosinac 2025 02:26